Traumatic thoracic aortic rupture
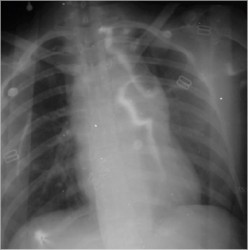
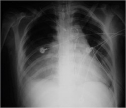
6 Comments Published by JonMikel, M.D. January 23rd, 2006 in Medical ImagesA previously healthy 17 yo woman came in to the ER because she has suffer an automovilistic accident. On the initial evaluation she was with pulse ‘parvus et tardus’ with altered mental status. A chest x-ray was ordered and found an aortic rupture.

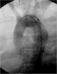
Because the bleeding was contained and she has just a little hemodynamic instability, the choice was endovascular treatment of traumatic thoracic aortic rupture.
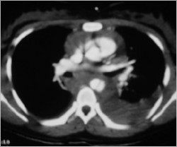
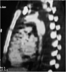
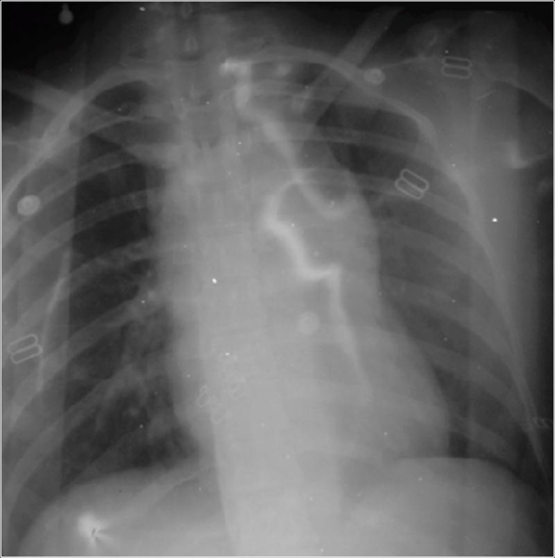
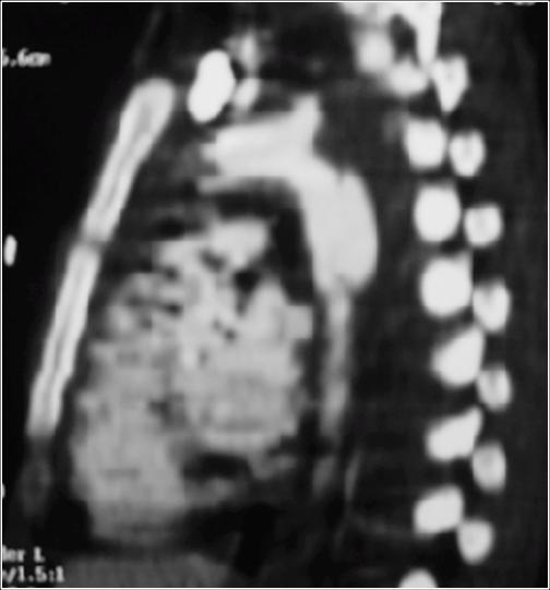
A CT Scan was ordered preoperatory:
Endovascular Procedure
After Procedure
The outcome was excellent and the patient is in good shape rightnow with a normal lifestyle.
Regards,
Jon Mikel Iñarritu, M.D.








Recent Comments